還我漂漂拳(牙)
自從疫情爆發後到現在 妹妹不知道發生了什麼事情…整天越來越邋遢…
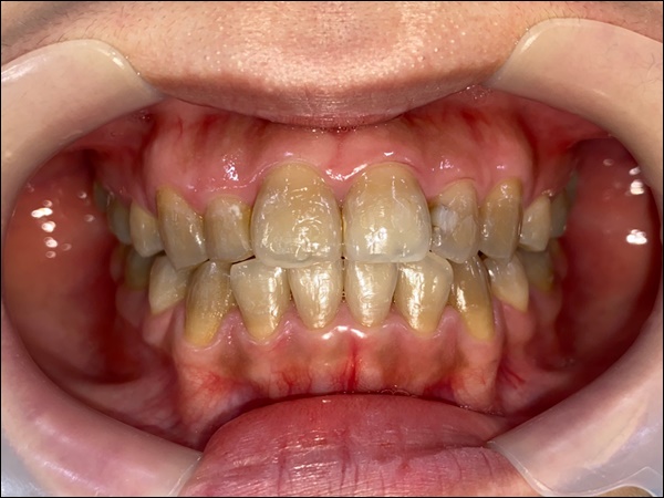
某天吃飯時看到她的牙齒….
OMG 是中了面目全非腳??牙齒怎變得這副鬼樣子….

我覺有必要找牙醫給她一套還我漂漂拳..
感覺阿嬤的假牙都比她好看….
想起之前閨蜜有做過牙齒美白效果很棒!!
就把大致情形跟閨蜜說,就傳了這名片給我
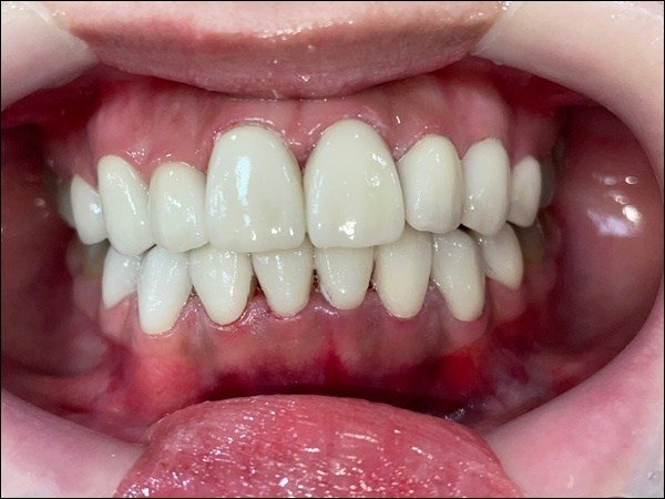
經過羅醫師評估後,醫師建議妹妹可以考慮美白貼片或是冷光美白
貼片維持的時間比冷光還長,再三評估後決定咬牙!要就一次到到位!!選擇了貼片!!
下面成品圖

經過羅醫師的漂漂拳終於回復正常了!